How do I view my saved images?
You can view your saved SonoSimulator images in two ways: through the Review feature in the SonoSimulator or through My Image Portfolio Report on My SonoSim Dashboard. Below are the detailed steps for each method.
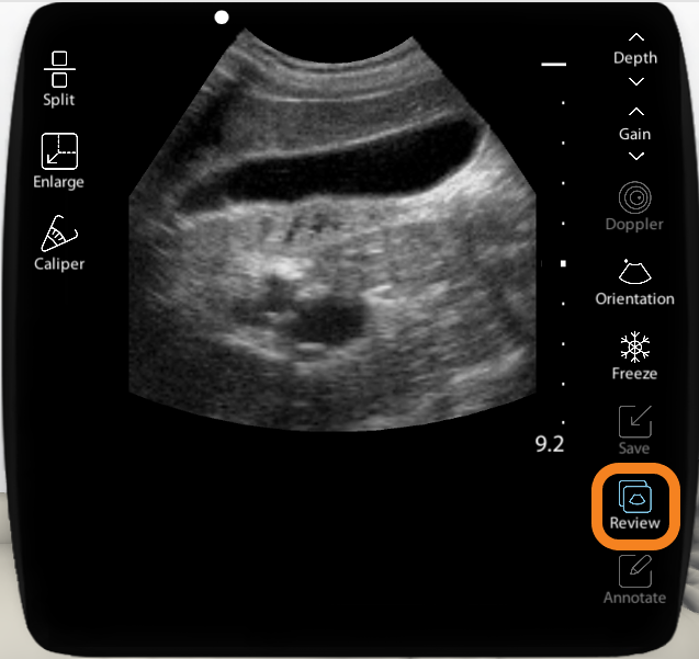
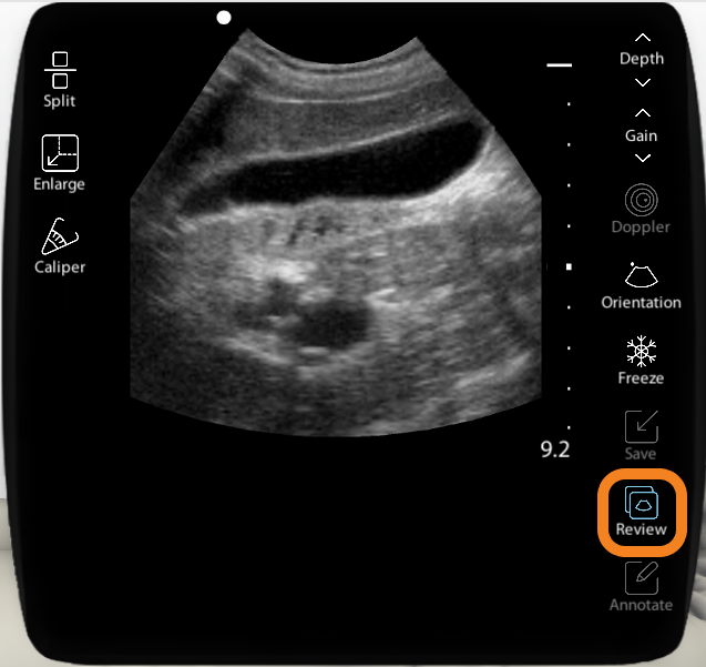
View Images via the Review Feature in the SonoSimulator
When you click Review, you will see all saved images from one module at a time. By default, your images will be organized by case and sorted from newest to oldest.

View Images via My Image Portfolio Report
Then click My Image Portfolio Report.

Within My Image Portfolio Report, you can view all saved images from all modules in one view. By default, all modules with saved images will be shown.

You can control which modules and images are shown in the report through the Settings & Filters in the right sidebar. You can download your images by clicking 'Export' at the top of the Settings & Filters sidebar.
Submitting Images for Grading & Feedback
Once an image is saved in SonoSimulator, your instructor can review and grade it directly in the SonoSim platform; there is no need to “submit” images if they’re being graded directly in the SonoSim platform.
Some instructors prefer to grade in an external platform (e.g., Canvas, Blackboard). In these cases, you may be asked to export your images for upload into a different platform. To export your images, go to My Image Portfolio Report and use the Export feature.
For graded images saved in Test Mode, learners can view an Optimal Reference Image. To view the optimal reference image, click the image in My Image Portfolio Report and toggle on 'View Reference Image.' This will show the optimal image for that window and view.

View Reference Image Toggle
Still Have Questions?
Read Related Articles
Contact Support
Send us an email: support@sonosim.com
Give us a call: 855-873-7666
Schedule a Support Session