You can delete your saved SonoSimulator images in two ways: through My Image Portfolio Report on My SonoSim Dashboard, or through the Review feature in the SonoSimulator. Below are the detailed steps for each method.
Through My Image Portfolio Report
Within My SonoSim Dashboard, click on Track in the left sidebar, then click Reports Hub.

Then click My Image Portfolio Report.

Within My Image Portfolio Report, you can view all saved images from all modules in one view. By default, all modules with saved images will be shown.

For any ungraded images, you can delete your image or edit your annotation. Simply hover over the image to see these options.
To delete images, click the upper-right checkbox of all images you wish to delete. A pop-up will appear at the bottom of the screen with a delete button.
Deleted images cannot be recovered.

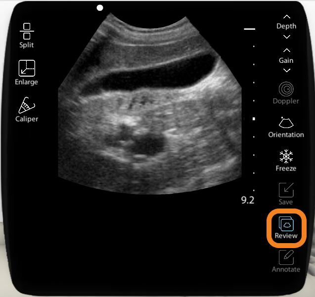
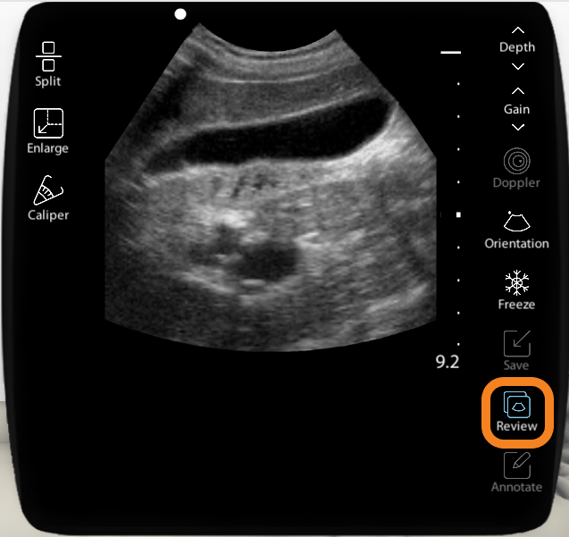
Through the Review Feature in the SonoSimulator
You can delete your saved images through the Review feature within the SonoSimulator.

When you click Review, you will see all saved images from one module at a time. By default, your images will be organized by case and sorted from newest to oldest.

For any ungraded images, you can delete your image or edit your annotation. Simply hover over the image to see these options.
To delete images, click the upper-right checkbox of all images you wish to delete. A pop-up will appear at the bottom of the screen with a delete button.
Deleted images cannot be recovered.

Still Have Questions?
Read Related Articles
Contact Support
-
Send us an email: support@sonosim.com
-
Give us a call: 855-873-7666
-
Schedule a Support Session